Самое интересное о спорте

Спорт – залог здоровья считают врачи, однако есть ряд интересных фактов, свидетельствующих, что это не совсем так.
- Детям вредна активная зарядка после пробуждения. Детский организм может просыпаться в течение 1 часа.
- Скорость отбитой шайбы достигает 160 км/час, а бейсбольного мяча – до 130 км/ч.
- Самый высокий баскетболист имеет рост 2,32 м.
- Самый длинный сет в настольном теннисе длился более 2 часов.
- Водные гимнасты могут слышать музыку под водой. Для этого в бассейн устанавливаются особые динамики.
- Олимпийские кольца символизируют единство 5 континентов, а цвета колец – наиболее распространены на флагах стран.
15. Медные дверные ручки являются самодезинфицирующими.
Медь и ее сплавы, такие как латунь, уже давно стали популярными материалами для изготовления дверных ручек. Оказывается, это может быть не только потому, что оттенок металла делает их красивыми.
На самом деле было обнаружено, что этот материал убивает бактерии. Согласно одному исследованию, » ионы металлов денатурируют белок клеток-мишеней, связываясь с реактивными группами, что приводит к их осаждению и инактивации. Высокое сродство клеточных белков к ионам металлов приводит к гибели клеток вследствие кумулятивного действия ионов внутри клеток.»
Другими словами, латунь стерилизует бактерии, которые накапливаются от (потенциально немытых) рук. А чтобы узнать о будущем нашей планеты, переходите на Топ-8 способов, которыми вселенная может убить нас всех.
11. Только два млекопитающих любят острую пищу: человек и древесная землеройка.
В то время как люди уже давно имеют редкое отличие быть единственным млекопитающим, которое действительно любит острую пищу, этот список был дополнен новым животным.
Согласно результатам исследования китайских ученых, древесные землеройки имеют мутацию в рецепторе ионного канала TRPV1, что делает их менее чувствительными к острому химическому веществу в перце чили.
В результате очаровательные зверьки с удовольствием поглощали кукурузные гранулы, сдобренные капсаицином (соединение, придающее перцу остроту), в то время как другие млекопитающие в исследовании избегали их.
Миллион
Говорят, что своим происхождением это числительное обязано итальянскому путешественнику Марко Поло. В 13 веке он путешествовал по Китаю и был несказанно удивлен увиденным великолепием. Чтобы описать несчетные богатства, он выдумал это слово.

Миллион образовался от итальянского «мили» – тысяча путем добавления к нему увеличительного суффикса «оне», который соответствует русскому суффиксу «ищ» (ручища, умище). Получается, миллион – это такая себе русская «тысячища».
Сам путешественник получил от своих современников прозвище «Марко Миллионе» за привычку часто использовать в своей речи это слово.
«Энканто»: «за» и «против»
- Текст: Юрий Данилов
- Фото: kinopoisk.ru
Лидер российского проката, диснеевский мультфильм «Энканто» (Encanto) может освоить за первый уик-энд 150 миллионов рублей. Это и много, и мало. Обычно подобные проекты собирают раза в три-четыре больше. С другой стороны, пандемию и ограничительные меры ещё никто не отменял.
При всём великолепии анимации с фильмом что-то не так. То ли отсутствие привычной драматургии сказалось, то ли оскудение идей у создателей полнометражных мультфильмов, но «Энканто» хвалят, скорее, по привычке и обязанности, чем по велению сердца.
Конечно же, американские рецензенты более щедры на комплименты, чем зарубежные. Это-то понятно. «Дисней» – очень влиятельная и богатая компания. Нужно хорошенько подумать, прежде чем подвергать критике её опусы.
Смелые критики пока ещё находятся. И мы предоставим им слово. Но сначала – апологетика.
«Отличные песни и анимация. Очередной триумф Диснея!»Патрик Макдональд, HollywoodChicago.com
«Детально продуманный яркий музыкальный постмодернистский аттракцион для любителей современной анимации. И даже если в работе над юбилейной картиной в Disney немного перестарались, это тот случай, когда вполне очевидно: раз так, значит, действительно старались сделать хорошо».Екатерина Сосновская, RG.ru
«Это творческий, свежий взгляд на историю, которая намного сложнее, чем обычная стандартная сказка».Кристен Пейдж-Кирби, Washington Post
«Энканто» определённо радует трепетным отношением к семейным ценностям, которые остаются неизменными во все времена и во всех народах».Вадим Богданов, Intermedia.ru
«Энканто» может быть лучшим анимационным фильмом Диснея со времен «Холодного сердца».Бильге Эбири, New York Magazine / Vulture
А теперь слово тем критикам, которых фильм в восторг не привёл:
«60-й анимационный фильм Диснея – рассказ, написанный по самому стандартному алгоритму, плюс восемь совершенно легко забываемых песен».Эрнесто Дьесмартинес, Cine Vértigo
«Странно видеть фильм с настолько кондовой и давно устаревшей формой диснеевского мюзикла. В «Энканто» песни — чуть ли не единственный способ продвинуть сюжет вперёд, и только в музыкальных номерах появляются намёки на креативную анимацию и какие-то интересные визуальные решения».Ефим Гугнин, Film.ru
«Это неудовлетворительный фильм без запаха».Питер Брэдшоу, Guardian
«Во время просмотра волей-неволей ловишь себя на том, что точно угадываешь как те или иные персонажи поведут себя дальше. А к финалу наступает горько-сладкое разочарование от ощущения обманутых ожиданий».Сергей Прудников, 25-k.com
«Энканто» в конечном итоге оказывается скорее утомительным, чем очаровывающим». Апарита Бхандари, Globe and Mail
«Энканто», увы, не смог сделать то, на что замахнулся — в нём нет захватывающей истории и ощущения целостности повествования, а интересные персонажи так и просят для себя материал получше».Варвара Ульянёнок, Posletitrov.ru
Разработка[править | править код]
Изначально Бруно предполагался более молодым, примерно того же возраста, что и Мирабель, и, по словам режиссёра Байрона Ховарда, изображался как «более пухлый и забавный дядя, которого она встречала ранее в фильме». Первоначальное имя персонажа было Оскар, однако творческая группа «Энканто» изучила другие варианты из-за большого количества существующих в реальности Оскаров Мадригалей в Колумбии. Автор песен Лин-Мануэль Миранда выбрал имя Бруно из списка возможных имён, включая Арло, Андре, Анко, Марко и Эмо, поскольку такой выбор позволил бы использовать запоминающуюся строчку «Не упоминай Бруно, но, но, но» в песне «Не упоминай Бруно».
Бруно изображается в пончо. В качестве основного цвета костюма Бруно был выбран изумрудно-зелёный цвет. Этот выбор обусловлен колумбийскими изумрудами и их использованием для предсказания будущего. В качестве ресурса при разработке Бруно команда «Энканто» опиралась на культуру кимбая. Одна из идей костюма персонажа заключалась в том, чтобы надеть на него ковёр, который он нашёл в доме. По словам художника по визуальному развитию Мэг Парк, окончательный вариант костюма Бруно должен был быть «старым церемониальным нарядом», носившимся в момент, когда у Бруно были видения будущего для людей, приходивших его навестить.
Нюансы эволюции
Около 50 тысяч лет назад развитый мозг помог человечеству выжить, но он же обернулся для людей значительной проблемой. Когда наш мозг увеличивался, мы учились ходить выпрямившись, на двух ногах. В результате человеческий таз и родовые пути стали у́же. Если бы младенец появлялся на свет столь же физически зрелым, что и детеныш гориллы, то его голова была бы такой крупной, что он просто не смог бы родиться.
Природа нашла решение: мы рождаемся намного менее развитыми, чем другие приматы, и куда более беспомощными. Необходимо, чтобы родители присматривали за нами в первые годы жизни. В результате у человеческих детей появилось время впитать мудрость старших: узнать историю своего племени, научиться охотиться, разжигать огонь, изготавливать орудия труда и многое другое. Все это в будущем помогало людям выжить.
Персонажи и актёры[]
| Персонаж | Актёр дубляжа | Актёр в оригинале |
|---|---|---|
| Мирабель Мадригаль | Регина Тодоренко | Стефани Беатрис |
| Бруно Мадригаль | Тимур Родригез | Джон Легуизамо |
| Альма Мадригаль | Марина Бакина | Мария Сесилия Ботеро |
| Исабела Мадригаль | Ксения Рассомахина | Дайан Герреро |
| Луиза Мадригаль | Таис Урумидис | Джессика Дэрроу |
| Джульетта Мадригаль | Ульяна Чеботарь | Энджи Сепеда |
| Агустин Мадригаль | Антон Эльдаров | Уилмер Вальдеррама |
| Пепа Мадригаль | Юлия Чуракова | Каролина Гайтан |
| Феликс Мадригаль | Михаил Хрусталёв | Мауро Кастильо |
| Долорес Мадригаль | Елизавета Шэйх | Адасса |
| Камило Мадригаль | Никита Лелявин | Рензи Фелиз |
| Антонио Мадригаль | Филипп Игнатенко | Рави Кабот-Коньерс |
| Мирабель в детстве | Кристина Сиротинская | Ноэми Хосефина Флорес |
| Мариано Гузман | Егор Жирнов | Малума |
| Сеньора Гузман | Елена Сортова | Роуз Портильо |
| Освальдо | Глеб Гаврилов | Хуан Кастано |
| Артуро | Александр Багрянцев | Эктор Элиас |
| Сеньора Озма | Валерия Миронова | Сара-Николь Роблз |
| Тукан Пик | Эммануэль Кюртиль | Алан Тьюдик |
| Городские дети | Кристина СиротинскаяВарвара СиротинскаяПолина БуханцоваИлья ЯрёменкоМихаил Фролов | Ноэми Хосефина ФлоресАлисса Белла КандианиЭзра РудулфПэйсли ХеррераБруклин Скайлар Родригез |
В микрофлоре марафонцев много бактерий, перерабатывающих лишнюю молочную кислоту
Фото: Pexels / Pixabay
Исследователи решили изучить кишечники 15 профессиональных бегунов на длинные дистанции. Выяснилось, что микрофлоры всех испытуемых были крайне богаты особыми бактериями под названием Veillonella atypica. Они перерабатывают молочную кислоту, являющуюся одним из главных факторов усталости спортсменов. Это открытие может помочь созданию пробиотиков, способных улучшить физические способности спортсменов и обычных людей.
Еще:
- 7 неожиданных фактов о мире вокруг нас
- Секреты окружающего мира и факты, которые их объясняют
- 20 потрясающих фактов, в реальность которых сложно поверить
- Дюжина удивительных фактов, поражающих воображение
- 12 неприятных фактов о продуктах из магазина
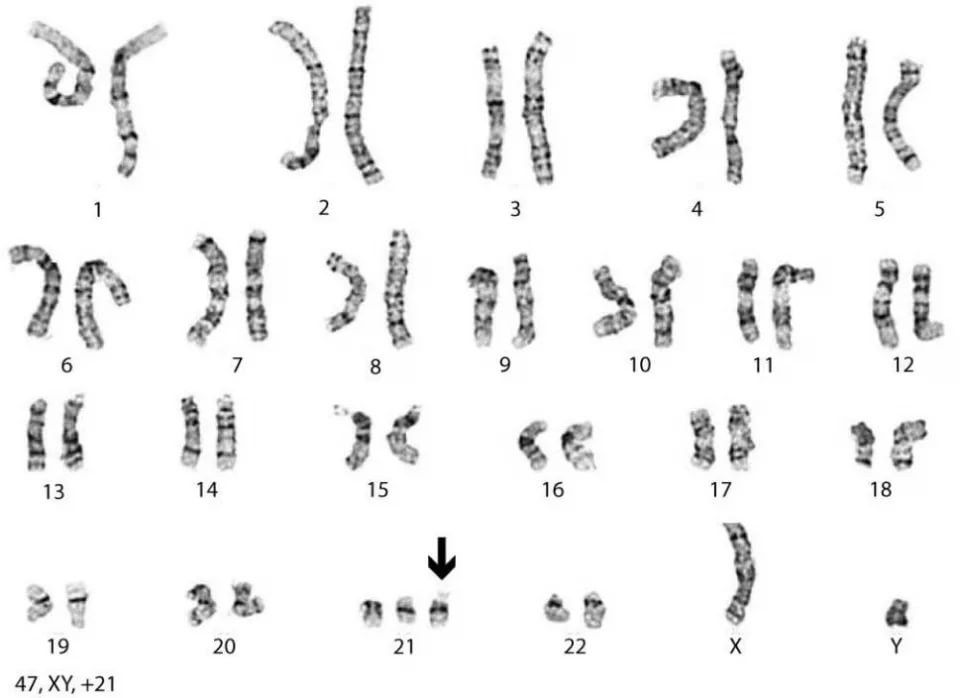
Самая частая хромосомная аномалия – синдром Дауна

Анеуплоидии – это численные хромосомные аберрации, в результате которых изменяется количество отдельных хромосом человека. Самая известная хромосомная аберрация, названная синдромом Дауна, вызвана тем фактом, что хромосомы неправильно распределяются во время клеточного деления. Такие хромосомные аномалии вызывают до 35% выкидышей.
Учеными доказан тот факт, что на вероятность появления на свет такого ребенка огромное влияние оказывает возраст будущей матери: чем старше женщина, тем больше процент вероятности развития синдрома Дауна у плода.
Конечно, это не говорит о том, что у юной роженицы не может родиться малыш с подобной особенностью, однако доказано, что девушки в возрасте до 25 лет рожают такого ребенка с вероятностью 1/1400, до 30 – 1/1000, при этом будущие матери 35 лет имеют гораздо большие риски равные примерно 1/350. Для женщин возрастом от 42 лет угроза родить ребенка с синдромом Дауна повышается до 1/60.
Несмотря на подобную тенденцию, по статистике, именно женщины до 30 лет чаще рожают детей с данной генетической аномалией, но это связано с тем, что на их долю в общем приходится основное количество производимых на свет малышей.
Примечания
- В английской версии буквально переводится как «Мы не говорим о Бруно, нет, нет, нет» (англ. We don’t talk about Bruno, no, no, no).
- Jared Bush . . Твиттер (December 8, 2021). Дата обращения: 8 августа 2022.
- Ben Travis. (англ.). Empire (28 января 2022). Дата обращения: 6 февраля 2022.
- ↑ Ashley Spencer. (англ.). The New York Times (13 января 2022). Дата обращения: 6 февраля 2022.
- ↑ Nora Dominick. (англ.). BuzzFeed (2 февраля 2022). Дата обращения: 7 февраля 2022.
- ↑
- Sarah Nechamkin. (англ.). ELLE (2 марта 2022). Дата обращения: 17 октября 2022.
- , p. 138.
- Andrew McGrotty. (англ.). MovieWeb (9 октября 2022). Дата обращения: 17 октября 2022.
- Caitlin Chappel. (англ.). Comic Book Resources (21 ноября 2021). Дата обращения: 9 января 2022.
- ↑ Jonathan Meschutt. (англ.). MovieWeb (25 марта 2022). Дата обращения: 17 октября 2022.
- ↑ Autumn Cejer. (англ.). ScreenRant (29 декабря 2021). Дата обращения: 17 октября 2022.
- Екатерина Скрябина. . BFM.ru (28 октября 2021). Дата обращения: 17 октября 2022.
- . InterMedia (15 ноября 2021). Дата обращения: 17 октября 2022.
- Ian Kumamoto. (англ.). Mic (6 января 2022). Дата обращения: 6 февраля 2022.
- ↑ Catherine E. Shoichet. (англ.). CNN (18 января 2022). Дата обращения: 6 февраля 2022.
- Princess Weekes. (англ.). The Mary Sue (December 30, 2021). Дата обращения: 6 февраля 2022.
- Bill Bradley. (англ.). ScreenRant (13 января 2022). Дата обращения: 17 октября 2022.
- Lindsay Lowe. (англ.). Today.com (13 февраля 2022). Дата обращения: 17 октября 2022.
«Энканто» и музыка
Студия, которая славится своими музыкальными анимационными лентами, в союзе с уже практически легендарным Лином-Мануэлем Мирандой — что может пойти не так? Тем более, что Миранда уже сотрудничал с Диснеем над «Моаной» и даже получил свою номинацию на «Оскар» за лучшую оригинальную песню.
Сами по себе песни, кстати, очень симпатичны. Они запоминаются (я напеваю парочку себе под нос уже второй день), мелодии так и брызжут латиноамериканским колоритом, а сами сопровождающие сцены потрясающе красиво сделаны.
Чтобы понять, где же у «Энканто» произошла осечка, нам надо отмотать время назад, в 1989 год – к первому хиту эпохи ренессанса компании «Дисней», великой и ужасной «Русалочке». Тексты к песням сочинял уже получивший успех своими театральными работами Ховард Эшман, он же давал много советов режиссёрам по поводу интеграции песен в повествование, которыми на студии пользовались даже после его смерти. Основное правило Эшмана — песня должна начинаться тогда, когда для передачи захлёстывающих чувств уже не хватает слов. И это правило тут не просто нарушено, а попрано ногами.
Получается, что претензия в первую очередь не к Миранде как к автору песен, а к сценаристам и режиссёрам, которые не смогли логично к ним подвести. Потому что песни в «Энканто» начинаются тогда, когда им хочется, без какой-либо эмоциональной подводки или обоснования. Персонажи спокойно говорили — персонажи начали петь. За этим почти физически больно наблюдать.
И совершенно ситуации не помогает текстовое разнообразие, которое специалист по рэпу Лин-Мануэль Миранда так любит использовать даже в традиционных песнях. Чем оно плохо? Тем, что как бы ни старались локализаторы, качественно адаптировать на русский язык это просто невозможно. Они правда старались. Но это невозможно.
Про кошек (котов) и собак тоже есть интересные факты

Кошки и собаки – любимые питомцы человека. Они удобны в содержании и очень привязаны к хозяину.
- У кошек лучше слух, а у собак обоняние.
- Самые умные породы собак – ретривер, колли и пудель. А вот кошки обладают средним уровнем интеллекта.
- Среди котов есть долгожители – до 20 лет. Собаки редко доживают до 16.
- Ученые выяснили, что хозяева собак менее подвержены повышению давления и в целом имеют более крепкое здоровье.
- Самая маленькая кошка в длину – 19 см.
- Самая прыгучая собака – русская овчарка Вольф. На соревнованиях она прыгнула на 160 см.
- Не существует потенциально опасных пород собак. Все зависит от воспитания.
Как Мирабель вернула силы Мадригалам?
Абуэла Альма и Мадригалы приняли Мирабель такой, какой она была на самом деле, еще до того, как их суперспособности были восстановлены. Все они построили новый дом без помощи своих способностей, поэтому не ожидали, что он вернется к жизни.
Но каким-то образом Мирабель, устанавливая дверную ручку, возродила Каситу и вернула ее магию. Как именно это произошло, не объясняется, но с учетом того, что магическая свеча, которая питает дом, всегда принимала произвольные решения, руководствуясь своей таинственной мудростью, внезапное возвращение магии Каситы, кажется, происходит, исходя из той же логики, которая не позволяла Мирабель получить дар.
Магия Каситы выбрала для себя особые символы: например, двери, которые отражают дар каждого родственника, и их личные комнаты. Точно так же дверная ручка не была доказательством пробудившихся сил Мирабель. Она стала олицетворением момента, в котором Мирабель изменила жизнь Мадригалов к лучшему, пока дом восстанавливался.
Помимо типичных ареп и, казалось бы, бесконечного многообразия цветов, в мультфильме присутствует важная достопримечательность колумбийской культуры — желтые бабочки.
3. Мурашки на коже предназначены для того, чтобы отпугивать хищников.
Почему у нас мурашки бегают по коже? В этой физиологической реакции маленькие мышцы, прикрепленные к отдельным волоскам тела, сокращаются, что приводит к тому, что волосы встают дыбом.
Мы унаследовали эту способность от наших предков отчасти потому, что наш (тогда) густой волосяной покров вбирал больше воздуха и таким образом сохранял тепло.
Но это также заставляло наших предков казаться больше, чем они были, помогая отгонять хищников, когда они были напуганы или защищались.
Современным людям, имеющим меньше волос на теле, мурашки больше не помогают выглядеть более устрашающими.
Почему семья Мадригаль дисфункциональная
Почему может сложиться такой вид семьи? Типичный сюжет разворачивается в мультфильме «Энканто»: 50 лет назад в семье Мадригаль трагически погиб Педро, муж Альмы Мадригаль, вскоре после рождения у них тройняшек. Для того, чтобы выжить и поднять детей, ей приходится отключить свою эмоциональность.
«Болезнь замороженных чувств» – это один из главных признаков дисфункциональной семейной системы, у которой не хватило ресурсов и внешней поддержки, чтобы эмоционально «переварить» травму.
События, которые приводят к такой хронической заморозке, обычно очень сильные и масштабные: например, война, репрессии, большое горе. Чувства, спонтанность, творчество становятся для такой системы слишком опасными из-за своей непредсказуемости. Жесткие правила, навсегда расписанные роли и контроль – это спасение от невыносимой боли.
А когда очень больно и горестно, человеческая психика включает защитный механизм, своего рода анестезию. Это хорошо и нормально, если это временно. Но если прожить горе и вернуться к нормальной эмоциональности не получалось, например, надо было годами продолжать напрягать все силы и справляться, что и пришлось делать Альме Мадригаль, то в такой семье закрепляется паттерн: не чувствовать, быть «слегка» неживыми.
Травма преподносит семье Мадригаль и свои дары: сверхспособности и волшебство. И с этого момента семья живет ради других, постепенно вовлекаясь в миф: у нас все отлично и чудесно, нас любят и ценят другие люди, а о прошлом нет нужды вспоминать. Теперь каждый новый член семьи будет получать свой чудесный дар – равно жесткую роль, которой будет обязан следовать всю жизнь. Отказаться нельзя.
Но человеческая эмоциональность сильно связана с витальностью, творчеством, способностью слышать другого, проявлять гибкость и выстраивать близкие отношения, а также с физическим здоровьем. В семье Мадригаль члены семьи внешне весьма счастливы, талантливы и дружны, но в глубине они не слышат, да и не очень-то знают друг друга. Они общаются фасадами или ролями, у них нет возможности ни проявить свою суть, ни поделиться друг с другом сложностями. Между ними нет истинной близости, зато назревают скрытые конфликты.
Что дисфункциональная семья может «передать» потомкам
«Все должно быть идеально», повторяет бабушка Альма, и ей никто не перечит, ведь ей уже столько пришлось пережить. Эмоциональное напряжение и накапливающиеся проблемы игнорируются, и благополучие семьи в буквальном смысле начинает трещать по швам.
Через поколение или два такой способ вытеснять чувства и подавлять конфликты может привести к сильной соматизации: один из членов семьи может заболеть и стать «носителем симптома» – тем, кто, наконец, ясно и неотвратимо заявит: «Хьюстон, у нас проблемы!».
Это может быть химическая зависимость или психическое заболевание, иногда это может быть расстройство пищевого поведения. Такой член семьи станет в чем-то недееспособным, вечно болеющим, мешающим и требующим внимания. Но, как ни странно, он будет объединять остальных членов семьи, которые вынуждены будут заботиться о нем или даже «спасать». Образуется жесткая связка: заболевший / нефункциональный / зависимый – спасающие / гиперфункциональные / созависимые. Это то, к чему в итоге может прийти семейство Мадригаль. И первый кандидат на роль недееспособного заболевшего – это главная героиня Мирабель.
Какие функции несут члены семьи Мадригаль
Джульетта, старшая дочь Альмы
Старшая дочь Джульетта получает дар заботиться и исцелять. Вполне «логично», что она выбирает себе мужа, который постоянно нуждается в ее исцелении: то поранится, то аллергия замучает. А такая связь может сигнализировать о созависимых отношениях.
Джульетта добра и заботлива по отношению ко всем жителям деревни, а также по отношению к «бездарной» Мирабель, а вот тяжелого состояния других своих дочерей – Луисы и Изабеллы – не замечает.
Пепа, средняя дочь Альмы
Пепа обладает даром влиять на погоду своими эмоциями. Ее роль – создавать благостную атмосферу. Ей нельзя расстраиваться, злиться, плакать, иначе вся семья, а особенно ее мать Альма (что говорит о незавершенной сепарации), будут разочарованы, поэтому она тратит много сил на сдерживание и подавление чувств. Но силу эмоций невозможно контролировать постоянно, как невозможно контролировать грозу. Неудивительно, что Пепа становится довольно нервозной и неуравновешенной, и ее эмоции регулярно разражаются и проливаются наружу, заставляя Пепу чувствовать себя еще более виноватой.
Чарли Шин сделал для информирования о ВИЧ больше, чем многие мероприятия ООН
Чарли ШинФото: Markus Wissmann / Depositphotos
После того, как Чарли Шин рассказал о том, что является носителем ВИЧ, люди начали активно интересоваться вопросами, связанными с этим вирусом. Они использовали интернет-поисковик, чтобы понять, что такое ВИЧ, как защитить себя от него, как узнать свой статус и многое другое. Всего за три недели после камин-аута Шина люди искали информацию о ВИЧ 2,75 миллионов раз. То, как отреагировало общество на признание Чарли, назвали «эффектом Чарли Шина». Получилось, что актёр сделал для информирования о ВИЧ больше, чем многие мероприятия ООН, так как ни одно из них не вызвало такую волну интереса к этой проблеме.
Интересные факты про диких и домашних животных
Животные, как домашние, так и дикие, уже стали частью жизни человека. Много интересных фактов и случаев связано с ними:
- Лягушки могут быть ядовитыми. Неопасные на первый взгляд существа могут быть смертельно опасными для человека, например, аргентинская рогатая лягушка может нанести глубокие раны человеку.
- Есть собаки, которые не умеют лаять. Такая порода называется бассенджи.
- В игре мыши могут смеяться. Они издают звуки, похожие на человеческий смех.
- Кролики могут проявлять свое недовольство рычанием. Также эти милые зверьки могут кусаться.
- У улитки и слизня самое большое количество зубов.
Эти факты об окружающем мире животных будут интересны детям 1-х, 2-х, 3-их, 4-ых, 5-ых классов средней школы.
Растения могут «чихать»
Листья некоторых растений, например пшеницы, супергидрофобны. Это значит, что они отлично умеют избавляться от влаги вместе с пылью и грязью, попавших на них, за счёт особенностей устройства поверхности листа. Мелкие капельки быстро и беспрепятственно скатываются, а лишняя энергия поверхностного натяжения этих капель преобразуется в кинетическую. Именно она приводит лист в небольшое движение и выкидывает с него другие капли. Учёные назвали это «чиханием» или «катапультой поверхностного натяжения». Это замечательный способ очиститься, но, к сожалению, он является причиной распространения болезней растений, так как заражённые «чихают» и вместе с водой отталкивают от себя споры грибков и плесени, которыми могут болеть.
Что на самом деле означают видения Бруно?
Это означает, что, хотя все, что он предвидит, открыто для интерпретации, его видения до некоторой степени верны. Бруно предвидит, что Мирабель будет перед домом Мадригалов, когда он развалится, но он не увидел ничего, кроме этого.
Он знает, что Мирабель может либо уничтожить свою семью, либо спасти ее, но у него не было возможности выбрать что-то одно. Его предсказание просто осталось открытым для интерпретации.
Оглядываясь назад, можно было бы легко сказать, что дому Мадригалов было суждено развалиться, и что Мирабель всегда суждено было восстановить магию дома впоследствии, но поскольку нефритовые таблички, которые иллюстрируют видения Бруно, показывают два разных прочтения, ясно, что будущее не было высечено в камне.
Только после того, как Мирабель снова нашла Бруно в мультфильме и убедила его смотреть дальше, они увидели проблеск надежды в виде Мирабель, обнимающей Изабеллу. Следовательно, видения Бруно лишь частично намекают на более, чем одно возможное будущее. Стремясь к наилучшему результату, несмотря на то, что он не был гарантирован, хитрая и харизматичная Мирабель Мадригал смогла его достичь.
Факты про солнце и солнечную систему

Солнечная система до сих пор не изучена до конца. Ученые уже разгадали ряд загадок, но впереди еще много интересного:
- В системе всего 8 планет (с 2006 года Плутон не входит в их число, так как признан планетой-карликом).
- В солнечной системе около 200 млрд. звезд и солнце является одной из них.
- Солнце изучается специальными, устойчивыми к тепловому воздействию аппаратами.
- Из всех планет на Землю больше всего похож Марс. Ученые даже подозревали существование жизни на его поверхности.
- От астероидов и метеоритов Землю защищает не только атмосфера, но и Юпитер. Его сильно поле притягивает и уничтожает их.
Факт 4. Правящая династия шведских королей произошла от простого французского солдата
Будущий король Швеции Жан-Батист Бернадот родился во французской провинции Гасконь в 1763 году. Он не имел дворянского звания, но во время службы в армии показал себя настолько мудрым и бесстрашным воином, что уже к 40 годам стал маршалом.
Жан-Батист-Жюль Бернадот в 1792 году
В 1806 году в сражении при Ауэрштедте он взял в плен около тысячи шведов. Удивительно гуманные условия, в которых их содержали, сделали полководца необычайно популярным в Швеции. Поэтому в 1810 году, после переворота в Стокгольме, государственный совет предложил избрать Бернадота кронпринцем. В 1818 году Жан-Батист стал королём Швеции Карлом XIV Юханом и королём Норвегии Карлом III Юханом.
Династия Бернадотов до сих пор на шведском троне.
7 биографических книг, которые вдохновляют на новые свершения
Читать подробнее

Проверенные терапевты Меты
Нет энергии и сил
Сложности в отношениях
Разобраться в себе
Проблемы с самооценкой
Депрессия

Ольга
Опыт 4 года · от 2500 ₽

Таисия
Опыт 3 года · от 2500 ₽

Станислав
Опыт 14 лет · от 4000 ₽

Виктория
Опыт 6 лет · от 3500 ₽

Ирина
Опыт 18 лет · от 6000 ₽

Валентина
Опыт 1 год · от 2000 ₽

Екатерина
Опыт 1 год · от 2000 ₽

Мария
Опыт 3 года · от 3000 ₽

Наталья
Опыт 10 лет · от 4500 ₽

Татьяна
Опыт 2 года · от 2000 ₽

Наталья
Опыт 4 года · от 2000 ₽

Станислава
Опыт 2 года · от 2500 ₽

Ольга
Опыт 7 лет · от 2500 ₽

Марьянна
Опыт 16 лет · от 8000 ₽

Анна
Опыт 3 года · от 3000 ₽

Наталья
Опыт 16 лет · от 4000 ₽

Ирина
Опыт 4 года · от 2700 ₽

Роза
Опыт 11 лет · от 6000 ₽

Наталия
Опыт 8 лет · от 3000 ₽

Максим
Опыт 5 лет · от 2500 ₽

Ксения
Опыт 3 года · от 3000 ₽

Ирина
Опыт 14 лет · от 2800 ₽

Юлиана
Опыт 1 год · от 2500 ₽

Анна
Опыт 11 лет · от 4000 ₽

Елена
Опыт 6 лет · от 4000 ₽
Еще немного интересного
- Очень долго древние славяне вместо цифр на письме использовали буквы.
- Славяне долго не воспринимали число само по себе, без предметов.
- В древности счет вели при помощи пальцев. Наверное, поэтому славяне считали предметы по пять, по количеству пальцев на одной руке. Например, два, три, четыре и т.д. раз по пять.
- Число «пять» образовано от слова «пясть», означавшего кисть руки с пятью пальцами.
- Некоторые народы вели счет девятками. Отсюда появилось слово «тридевять», то есть 27. В разговорной речи оно обозначало далекие неведомые страны. Например, пойти за тридевять земель или тридевятое царство.
- В древнеславянском языке количество предметов обозначали при помощи всего 12 слов: один, два, три, четыре, пять, шесть, семь, восемь, девять, десять, сто, тысяча.
- В Древней Руси многих детей называли по порядку появления в семье. В то время можно было встретить человека с именем Первуш, Третьяк или Семый. Большинство таких имен со временем стали фамилиями. Яркий пример тому – известный российский хоккеист Владислав Третьяк.
- Как самостоятельная часть речи числительное утвердилось только к середине 18 века благодаря М. В. Ломоносову.
- Числительные можно записывать при помощи букв и цифр.
- Самое длинное числительное можно составить из 47 слов.
- Слова «тысяча», «миллион», «миллиард» и т.п., по мнению филологов, могут быть числительными и именами существительными.
- Числительные один, два, три, четыре первоначально были прилагательными. В современном русском языке они стали числительными, но сохранили все признаки прилагательного и подчиняются правилу согласования с зависимым существительным.
- Собирательных числительных всего 9: двое, трое, четверо, пятеро, шестеро, семеро, восьмеро, девятеро, десятеро.
- Лингвисты до сих пор спорят, относить ли к числительным такие слова, как много, мало, оба, обе и т.п.
- Числительные часто использовались в устном народном творчестве – пословицах, поговорках, загадках.
Близкородственные связи ведут к появлению слабых наследников

Мы все знаем об опасностях вступления в интимную связь близких родственников. Хотя, до возникновения генетики как науки такая практика была широко распространена на Европейском континенте, особенно в знатных кругах.
Например, Карл II, король Испании, имел вместо восьми прадедушек (как должно быть в норме), только четыре. Это конечно приводило к возникновению разнообразных генетических мутаций, которые в последствии оказывали крайне негативное влияние на детей, рожденных в кровосмесительных баках.
Доказано, что дети людей, не связанных родственными узами часто показывают уровень физической подготовленности значительно выше любого из родителей. Этот эффект называется гетерозисом или гибридной энергией. Это также объясняет современную тенденцию скрещивания породистых собак.
Ткань вместо денег
С тех пор как неандертальцы впервые обернулись шкурами животных, люди носят одежду. Сначала шкуры просто оборачивали вокруг туловища, позднее грубо сшивали с помощью костяных игл и ниток из жил животных. С появлением сельского хозяйства наши предки начали выращивать разные культуры и разводить скот, а это привело к появлению новых материалов. Освоив приемы переплетения и вязания, люди смогли не только ткать ткани для одежды, но и изготавливать множество других полезных вещей: от корзин и одеял до веревок и парусины.
Ткань из волокон льна — одна из древнейших. Первые образцы восходят к 8000 г. до н. э. Льняная ткань высоко ценилась за качество и красоту. Помимо одежды в Древнем Египте из нее делали бинты для мумификации и погребальные пелены. В этой стране льняную ткань так превозносили, что она даже использовалась вместо денег.

На протяжении как минимум 100 тыс. лет люди учились получать краски из природных материалов, чтобы окрашивать ткани. В древности самыми распространенными были краски из растительного сырья: красный — из корня марены, желтый — из лишайника, синий — из индигоферы (растение семейства Бобовые). Но больше всего в Древнем мире ценился королевский пурпур, который получали из слизи моллюсков мурексов.
Подготовлено по книге «Как человек стал человеком».
Обложка поста: pixabay
В статье использованы иллюстрации из книги.
Возникновение некоторых видов опухолей связано с генетической предрасположенностью
Онкогены, гены-супрессоры и гены-мутаторы – это гены, которые включают или выключают определенные сигнальные пути в нашем организме и вызывают рак при определенных негативных мутациях. Следовательно, злокачественные опухоли возникают из-за неправильной работы генов, которые играют важную роль в метаболизме клеток.
Благодаря повышенной скорости метаболизма и способности клеток делиться, они могут дегенерировать и размножаться. Например, в случае синдрома Ли-Фраумени изменяется доза белка р53, что приводит к развитию рака молочной железы, опухолей головного мозга, остеосаркомы и лейкемии даже в молодом возрасте. Это связано с тем, что белок р53 связывается с ДНК как фактор транскрипции и может стимулировать его считывание.
Какие функции несут члены семьи Мадригаль
Джульетта, старшая дочь Альмы
Старшая дочь Джульетта получает дар заботиться и исцелять. Вполне «логично», что она выбирает себе мужа, который постоянно нуждается в ее исцелении: то поранится, то аллергия замучает. А такая связь может сигнализировать о созависимых отношениях.
Джульетта добра и заботлива по отношению ко всем жителям деревни, а также по отношению к «бездарной» Мирабель, а вот тяжелого состояния других своих дочерей – Луисы и Изабеллы – не замечает.
Пепа, средняя дочь Альмы
Пепа обладает даром влиять на погоду своими эмоциями. Ее роль – создавать благостную атмосферу. Ей нельзя расстраиваться, злиться, плакать, иначе вся семья, а особенно ее мать Альма (что говорит о незавершенной сепарации), будут разочарованы, поэтому она тратит много сил на сдерживание и подавление чувств. Но силу эмоций невозможно контролировать постоянно, как невозможно контролировать грозу. Неудивительно, что Пепа становится довольно нервозной и неуравновешенной, и ее эмоции регулярно разражаются и проливаются наружу, заставляя Пепу чувствовать себя еще более виноватой.
14. Человеческое тело буквально светится.
Это может быть трудно увидеть невооруженным глазом, но каждый, мимо кого вы проходите каждый день, буквально светится. Человеческое тело излучает небольшое количество видимого света («видимого» в техническом смысле—освещение примерно в 1000 раз менее интенсивно, чем уровни света, которые мы действительно могли бы видеть).
Исследователи в Японии использовали специальную камеру для отслеживания этого свечения и обнаружили, что оно колеблется в течение дня, причем тело излучает свой самый низкий уровень света около 10 часов утра и самый высокий-около 4 часов дня. Такой ритм ученые объясняют изменениям в обмене веществ. Еще больше интересной информации в подборке 36 захватывающих фактов о «Титанике».
Интересное про разных насекомых, муравьев, сов и ежей

- У ежей есть маленький хвост.
- Ежики спят по 128 дней в году.
- Тело ежа содержит около 10000 иголок, они отрастают полностью к первому году жизни и обновляются 1 раз в 3 года.
- Муравьи – самые организованные и трудолюбивые среди всех насекомых.
- Эта группа насекомых наиболее многочисленна.
- Муравьи-листорезы могут выдержать на себе вес в 1 кг.
- Насекомые могут жить без пищи и воды: скорпион – до 2 лет, а вот клещи – до 10.
- Термиты могу слушать музыку. Если им включить хэви металл, то они будут грызть дерево в два раза быстрее.
- Идя в лес, не стоит есть бананы, поскольку люди, полакомившиеся этим фруктом, гораздо сильнее привлекают комаров.
- Совы поворачивают голову на 270 градусов.
- Летают совы бесшумно благодаря специальному строению крыльев.




























